Skip to content
Menu
Home
About
Contact
Dogs
Hilda
Hilda MH
Eino
Kyösti
Sylvi
Champions
Puppy plans & litters
Stats
6th Edition | 2025
6th Edition Puppy Diary
5th Edition | 2024
5th Edition Puppy Diary
4th Edition | 2022
4th Edition Puppy Diary
3rd Edition | 2021
3rd Edition Puppy Diary
2nd Edition | 2019
2nd Edition, videos
1st Edition | 2017
fRRozen dRReams
Rainbow bridge
Eddie
Riina
Vilho
Vilho pedigree
Vilho’s gallery
Iivo
Iivo MH
Oiva
Oiva MH
Offspring
Manwë G-litter, 2015
Aries Khan N-litter
RR Health
Juvenile myoclonic epilepsy (JME)
Lumbosacral transitional vertebra (LTV) in Rhodesian Ridgebacks
Blogs
4th Edition Puppy Diary
Oiva’s DLE
Topi’s OCD
Previous Image
Next Image
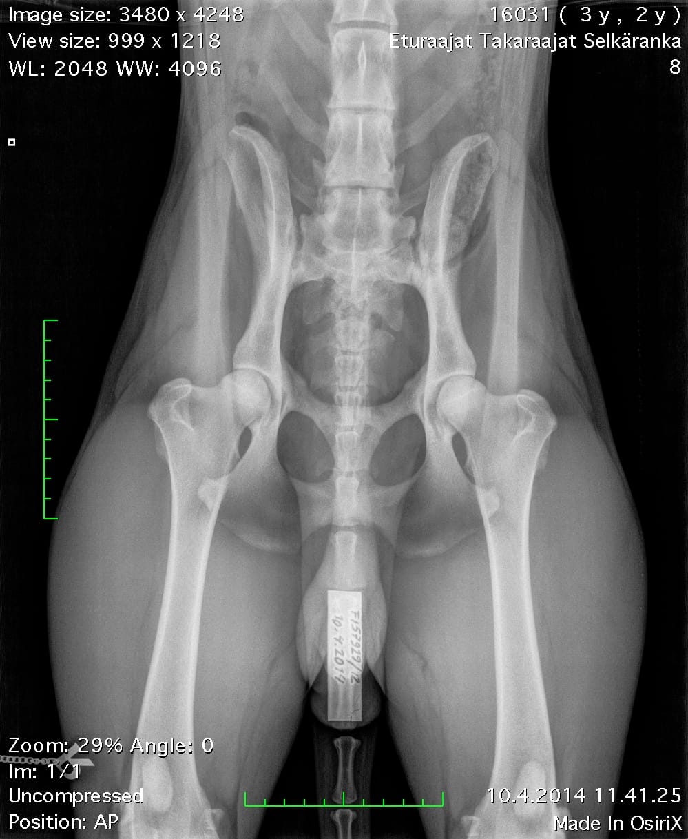
Oiva Lonkka VD
Post navigation
Published in
Oiva Lonkka VD
HTML Snippets
Powered By :
XYZScripts.com
Scroll Up