10.4.2012-16.10.2024
Oiva left us in October 2024, in a good age of 12,5 years <3
Oiva was born in 2012 in Norway, Anne Britt Gabrielsen’s kennel. He is the sweetest boy with a golden heart, my true soul mate <3 Oiva has sired 2 litters and became a granddad in summer 2019 and again in 2023.
In Autumn 2019 we noticed that Oiva’s testical had shrunken and he had some temperament changes. After seeing our own vet and a cardio speacialist we learned that Oiva has a leak in both mitral and aortic valve and an aortic aneurysm. In ultrasound a mass indicating a tumor in testical was detected. Oiva was castrated in October 2019 and the final diagnose was a intratubular seminoma, which in most cases in benign. Naturally after these findings Oiva is out of breeding for good.
In 2021 Oiva was dianosed to have DLE (Discoid Lupus Erythematosus). Luckily this is managed by local treatment only <3


| Name: | C.I.B. Nord CH, FI, S, DK, N, EE CH, EE JW-13, EEW-14, EEW-15 Aminiafu's Hishima H-Oiva "Oiva" |
| DOB: | 10.4.2012 5+7, 3 x livernose, 1 x 3 crowns, 1 x multicrowns, 2 x offset |
| Height: | 67,5 cm |
| Weight: | 42 kg |
| Color: | wheaten |
| Liver gene: | B/b |
| Dilution: | D/D (normal) |
| Teeth: | Full scissorbite |
| Sire: | Paerdecroon Baron Borg |
| Dam: | Kangelani's Gentle Gaby by Clay |
| Breeder: | Anne Britt Gabrielsen |
| Owner: | Nina Lindqvist |
| Hips: | A/A | |
| Elbows: | 0/0 | |
| Shoulders: | clear | |
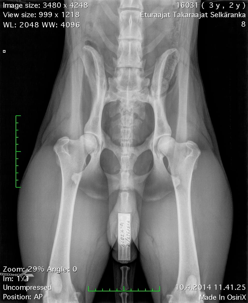
| Spine: | SP0, LTV4 (8 lumbosacral vertebrae) | |
| DM: | N/N | |
| Hemophilia B: | N/N | |
| EOAD: | high confidence clear | |
| JME: | N/N |
| C.I.B. Nord CH, FI CH, S CH, DK CH, N CH, EE CH, RU CH, EE JW-13, EEW-14, EEW-15 Crufts qualified x3 #2 Show Ridgeback in Finland 2014 #4 Show Ridgeback in Finland 2013 BIG2 BIG3 BOB x 8 BOB-junior x 2 BIS4-junior BIS4-puppy BIG3-puppy BOB-puppy + HP x 8 CACIB x 9 FI CAC x 13 S CAC DK CAC N CAC EE CAC RU CAC EE JCAC x2 |
| |||||||||||||||||||||||||||||||
| Pedigree generated by PedigreeQuery.com | |||||||||||||||||||||||||||||||






























